病毒细胞产品

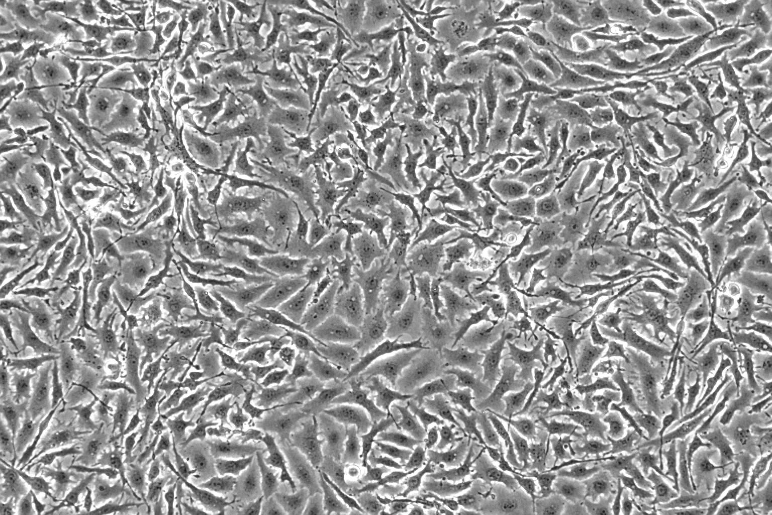
  • 人非小细胞肺癌细胞(NCI-H1650)
  • 人非小细胞肺癌细胞(NCI-H1650)

细胞名称:人非小细胞肺癌细胞(STR鉴定正确)

细胞别名:H1650; H-1650; H1650_CO; NCIH1650

货号:TCH-C272

规格:1X10^6

价格:1400元 (干冰运输需另加200元干冰费) 

|  使用说明书

人非小细胞肺癌细胞NCI-H1650_TCH-C272_MX292A5-20250205.pdf


NCI-H1650细胞是于1987年从一名27岁白人男性(10年烟龄)支气管肺泡癌患者的胸腔积液中分离得到的


细胞名称:人非小细胞肺癌细胞

细胞简称NCI-H1650

产品货号TCH-C272

种属来源

组织来源

疾病特征非小细胞肺癌

细胞形态上皮细胞样

生长特性贴壁生长

培养体系RPMI-1640 +10% FBS+1%Glutamax+1% Sodium Pyruvate+1%P/S

配套培养基货号:TCH-G272

传代比例:1:3-1:4 每2-3天换液一次

传代周期36-48 h

培养条件气相:95%空气+5%CO2,温度:37℃

冻存条件60%基础培养基+30%FBS+10%DMSO,液氮储存

质量检测细菌、真菌、支原体检测均为阴性

参考文献


收货当天如何处理细胞?

收到细胞后请务必仔细阅读产品资料,了解细胞相关信息,如贴壁特性 (贴壁/悬浮/半贴壁半悬浮)、细胞形态、培养体系、传代比例和换液频率等。

点击可查看下载《细胞收货处理方法说明》.jpg

友情链接: 国家实验细胞资源共享平台 ATCC Zhang Lab 海星生物商城 苏公网安备32058502011009
版权所有:海星生物科技有限公司 Copyright © 2020 Haixing Biosciences. All rights reserved. 备案号: 苏ICP备2022006589号-1
新闻资讯 站点地图